티스토리 뷰
오늘은 유방암 초기 증상에 대해 살펴보겠습니다. 유방암은 가슴에 발생한 암을 의미합니다. 유방암 진단을 받는 환자의 수는 한 해 동안 2만 명에 달하고, 여성들한테 제일 흔한 암 중 하나입니다. 2019년 이전까지 1위였던 갑상선암을 넘어 유방암이 여성 암 유발률 1위에 올랐습니다. 가슴에 응어리(멍울)가 만져지고 진통이 생기게 되면 어쩌면 유방암 초기 증상일 수 있습니다.
목차
1. 유방암은?
2. 유방암 원인
3. 유방암 초기 증상
4. 유방암 초기 생존율
5. 유방암 예방법(유방암에 좋은 음식)
6. 유방암 치료
유방암은?
유방암은 유방조직에 악성 세포 암이 발생하는 것을 의미합니다. 유방조직이 적은 남자 또한 유방암에 걸릴 수 있습니다.
유방암은 일반적으로 남자보다 여자한테 자주 발생하고, 매해 발생률이 약간씩 늘고는 있지만 정확한 이유은 아직 확실히 알려지지 않았습니다. 생활환경이나 유전적 요인 정도로 발생한다고 알려져 있습니다.



유방암은 30대 중후반에서 60대 초기까지의 여성분들한테 가장 자주 나타나는 질환이었지만, 최근은 젊은 여성층인 20~30대에서도 유방암 유발률이 오르고 있기 때문에 여성들의 경우 특히나 주의해야 하는 질환 중 하나입니다.
유방암 원인
일반적으로 모든 암은 생활환경적인 요인과 유전에 의해 발생하는 것으로 알려져 있습니다. 불규칙한 식단, 서양식 식단의 유입으로 인해 영양 불균형, 과체중, 흡연, 음주, 방사선 피폭, 폐경, 스트레스 등이 거론됩니다. 다양한 이유로 발생하는 암이지만, 그중 하나는 특정 유전자의 가족력과 관계가 많은 것으로 전해져 있습니다.
유방암 원인 - 늦은 출산시기
임신과 모유 수유는 유방 조직의 세포 균열을 늦추고 종양 유발 확률을 낮춘다고 알려져 있습니다. 그렇기 때문에 아이가 없거나 30대 이상으로 출산시기가 늦어진다면 유방암에 걸릴 확률이 높아진다고 하는 게 의료계의 의견입니다.
유방암 원인 - 이른 초경, 늦은 폐경
최근 서양화된 식생활과 이른 생리를 하는 초경, 늦은 폐경, 임신을 하지 않거나 수유를 하지 않는 기피 등으로 말미암아 인체가 에스트로겐에 노출되는 기간이 길어질수록 유방암 발생률이 오르게 됩니다.
유방암 원인 - 유두의 상처
유두에 상처로 말미암아 염증이 발생하고, 제때 치유를 하지 않는 경우 유방암이 생길 수 있습니다. 이 상처가 시간이 지나면 상태가 더 안 좋아져서 염증이 발생하고 그러면 피부 표면의 염증에 의해서 유방암이 유발하게 됩니다.
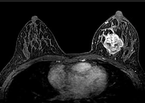
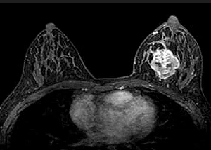
유방암 초기 증상
유방암 초기 증상 1. 응어리가 만져지는 경우
유방암 초기 증상으로 응어리나 멍울이 만져지면 유방암 초기 증상을 의심해보아야 합니다. 가슴이나 겨드랑이 방향을 손으로 만졌을 경우 울퉁불퉁한 혹이 느껴진다면 의심해 보아야 합니다. 악성 종양인 경우 일반적으로 단단하고 고정되어 이동하지 않고 모양이 불규칙합니다. 하지만 멍울은 유선 내에 있는 혹으로, 90%가 양성 진단을 받는 것으로 알려져 있습니다. 이러한 응어리 멍울은 유방암과 관계없는 섬유선종이나 섬유낭종일 가능성도 높아 의료기관에서 정확히 진찰받는 것이 좋습니다.
유방암 초기 증상 2. 가슴 사이즈의 변화
가슴 모양이나 사이즈의 변화는 호르몬, 몸무게 변화, 노화 등으로 인해 변하기도 합니다. 하지만 한쪽 가슴의 모양이 갑자기 변한다면 유방암 초기 증상으로 의심해보아야 할 문제일 수도 있습니다.
유방암 초기 증상으로 가슴 사이즈가 기존과 달라진 게 느껴진다고 하는 분들이 많습니다. 한쪽 가슴의 사이즈가 평상시와는 달리 커지거나 양쪽의 크기 차이가 커진다면 유방암의 초기 증상일 수 있습니다. 또한 평상시와는 다르게 젖꼭지(유두)가 상황 거나 넣어 오를 수 있기 때문에 유방암 초창기 증상이 있는가 몸 상황을 빈틈없이 살피고 이러한 증상이 있으면 유방 전문병원(유방센터)을 방문하여 검진을 받아봐야 합니다.



유방암 초기 증상 3. 가슴 통증
여자분들의 경우 생리를 할 때가 되면 가슴 진통이 발생하는 경우가 많습니다. 그러한 이유 때문에 유방암 초기 증상인 유방통증에 대해 대수롭지 않게 생각하고 무심히 넘어갈 수도 있습니다. 월경 주기와 관계없이 긴 시간 동안 유방 진통이 있으면 진료를 받아보는 것이 좋습니다. 유방암 초기 통증이 잘 나타나지 않다가 시간이 지나며 진통이 심해지고 악화된다면 유방암 초기 증상을 의심해 보아야 합니다. 일부는 따끔거리는 통증을 동반할 수 있습니다.
이는 유방 내부에 생긴 종양이 자라면서 유방 조직과 가슴에 압박을 가해서 통증을 발생하는 것일 수 있습니다. 이외도 과도한 스트레스나 피곤함, 수면부족 등 다양한 상황에 따른 호르몬 변동의 이유로 진통이 나타날 수 있어 통증이 심해지거나 유지된다면 의료기관에 방문하여 정확하게 검진을 받아 보시기를 권장합니다.
유방암 초기 증상 4. 분비물 나오는 경우
여성이 분만 후 모유 수유를 할 때 액체(모유)가 나오는 것은 일반적인 것이지만, 정상적인 분비물은 노랑, 녹색, 유백색인 반면, 유방암이 있는 경우 유두가 영향을 받아 투명하거나 갈색조일 경우가 많습니다. 특히나 혈액이 뒤섞인 분비물은 더 유방암 초기 증상이 의심스러울 수 있습니다. 이렇게 피가 뒤섞인 분비물이 유두에서 나오는 경우 암이 어느 정도 진행된 것으로 빠르게 의료기관에 방문해 봐야 합니다.
유방암 초기 생존율
유방암은 0~4기로 구분합니다. 다른 암과 마찬가지로 4기로 갈수록 말기이며, 각 시에서도 A에서 C등급으로 구분합니다. 유방암 초창기에 속하는 0기인 유방암 초기의 생존율은 약 98퍼센트가량으로 예후가 좋은 편이고, 1기는 96퍼센트 수준의 완치율입니다. 유방암 2기 생존율은 92%, 3기 75%, 4기에 발견시 34%의 생존율을 보이고 있습니다.
유방암 예방 방법 (유방암에 좋은 음식)
정상적인 사람들도 일반적으로 하루에 5천 개 가량의 돌연변이 세포가 생성된다고 알려져 있습니다. 그렇지만 암에 걸리지 않는 이유는 우리 몸의 면역 세포가 이같이 돌연변이화된 세포들을 없애기 때문입니다. 그렇기 때문에 면역력을 잘 키울 필요가 있습니다.



1. 술은 여성들의 에스트로겐과 안드로겐의 혈중 농도를 높임으로 유방암 유발을 높이기 때문에 빈번한 음주나 과음을 하는 것은 좋지 않습니다.
2. 항산화 성분이 풍부한 야채와 비타민과 미네랄이 풍부한 과일을 드시면 도움이 됩니다.
3. 불포화지방산이 풍족한 등 푸른 생선이나 대두유, 참기름, 들기름 같은 지방을 드시면 도움이 됩니다.
4. 여성들의 폐경 후에는 유방암 유발 위험이 오르기 때문에 신체 운동량을 늘리고 균형 잡힌 식사를 함으로 몸 관리를 해주시길 바랍니다.
유방암 항암 치료과정
유방암 치료 - 외과수술
암세포 조직을 없애는 시술을 합니다. 조직 적출 시술 중 림프절을 같이 제거하여 림프절 전이를 확인합니다. 전이가 없으면 림프절 절제술을 중지하고 전이가 있으면 액와 림프절을 추가로 제거합니다. 시술 전에 이미 림프 절으로의 전이가 확인된 경우에는 추가 절제술이 가능할 수 있습니다. 암세포의 위치와 사이즈에 따라서 유방조직을 살릴 수 있고 향후 재건수술도 고려해볼 수 있습니다. 최근에는 의학기술이 발달하면서 최대한 보존하려는 경향이 있지만, 암세포의 사이즈가 크거나 전이되면 어쩔 수 없이 많은 부분을 절제하게 됩니다.



유방암 치료 - 항암제 치료
시술 후 제거되지 않은 암을 제거해 전이·재발률을 안정적으로 줄이기 위한 보조 치료제로 항암제를 이용합니다. 요즘에는 암의 사이즈를 줄인 후 항암제를 우선 이용해 수술하고 있습니다. 도세탁셀, 아드리아마이신 등 다른 암에 통상적으로 사용되는 화학 항암제가 대부분 사용되며, 헤르셉틴, 페르 제타 같은 표적 치료제는 양성 HER2 환자만 사용됩니다. 또 요즘 인기 있는 면역 체크포인트 억제제인 키트루다와 티센 트리 테를 사용한 항암 치유제는 난치성 공격성 유방암으로 이어지는 삼중음성 유방암에 효능이 있고, 특히나 티센 트리 테는 식품의약품 안전처의 승인을 받았습니다.
유방암 치료 - 방사선 치료
현재 국내 유방암 환자의 약 90퍼센트가 방사선 치유를 받고 있습니다. 약 50년 전까지만 해도 대부분의 유방암의 표준 치료방법이 유방암 절제였겠습니다만 요즘에는 초중기 유방암이 거의 유방 보전 시술로 발전되고 있습니다. 유방 보전 시술을 할 경우 재발률은 약 30퍼센트 수준이고 방사선 치료를 추가한다면 재발률을 약 70퍼센트 줄일 수 있어 유방 절제술과 비슷한 치유 결과를 얻을 수 있습니다.



또 유방암이 유방 바깥쪽도 전이된 경우에는 전이암 부위의 통증 같은 증상을 감소해주고 병변을 감소시키는 방사선 치료를 실시하기도 합니다.
지금까지 유방암 초기 증상과 유방암 생존율, 예방방법에 대해 안내해 드렸습니다. 오늘 정리한 내용이 도움이 되셨기를 바랍니다. 방문해주셔서 감사합니다.
난소 낭종 절제술 안내문
이번 포스팅은 난소낭종에 대해 알아보겠습니다. 난소낭종이 있다고 하면 난소암을 걱정하게 되지만 두 질환을 많은 차이가 있습니다. 난소낭종은 생식기여성에게 흔히 발생하고 보통은 암이
goodfor.infoma.kr
자궁내막증 증상 수술 안내문
오늘 건강정보는 자궁내막증 증상과 수술 치료방법에 대해 알아보겠습니다. 목차 1. 자궁내막증이란? 2. 자궁내막증 증상 3. 자궁내막증 진단 4. 자궁내막증 치료 자궁내막증이란? (자궁내막증식
goodfor.infoma.kr
임신성 당뇨병 관리 방법
오늘의 건강정보는 임신성 당뇨병에 대해 알아보겠습니다. 혈당조절이 되지 않아 인슐린쇼크를 일으킬 수 있고, 태아의 기형 가능성과 심하면 태아의 사망까지 이르게 할 수 있기 때문에 혈당
goodfor.infoma.kr

