티스토리 뷰
이번 건강정보는 복부대동맥류에 대해 알아보겠습니다. 복부동맥류는 복부내에 가장 큰 혈관인 대동맥 벽이 약해져 늘어나는 질병입니다.
목차
1. 복부대동맥류란?
2. 심각한 상태인가요?
3. 복부대동맥류 원인
4. 복부대동맥류 증상
5. 어떠한 검사를 받게 되나요?
6. 복부대동맥류 치료
7. 수술 후 합병증은 무엇인가요?
8. 복부대동맥류 예방
9. 복부대동맥류 수술 후 관리
복부대동맥류란 어떤 병인가요?
동맥류란 동맥의 일부가 약해지고 팽창하여 풍선처럼 부풀어져 있는 상태이며, 몸 속 동맥 어디에나 생길 수 있으나 가장 흔하게 발생하는 곳이 복부 대동맥입니다. 정상 대동맥의 지름은 16~18mm 정도이나 정상보다 1.5배 이상으로 영구적으로 늘어난 상태를 대동맥류라 하며 동맥류는 75%에서 복부대동맥에 발생합니다.



심각한 상태인가요?
복부대동맥류의 크기가 작은 초기 단계에서는 수술이 필요하지 않고 건강에 즉각적인 위험이 되지 않을 수 있습니다. 정기적인 점검을 통해 혈관외과 전문의의 지시에 따르면 됩니다. 동맥류가 계속 커진다면 대동맥의 벽이 점점 얇아지면서 대동맥 벽의 약해진 부위는 대동맥의 압력을 지탱하지 못하고 파열되어 심각한 출혈을 일으킬 수 있습니다. 이러한 경우에는 10~20분 이내에 사망할 가능성이 많으므로 매우 위험한 상황이라고 할 수 있습니다.
복부대동맥류 원인은 무엇인가요?
정확한 원인은 아직 규명되어 있지 않으며, 현재까지 알려진 위험인자는 다음과 같습니다.
● 흡연 여부 및 과거 흡연 경력
● 가족력(유전)
● 고혈압, 당뇨, 고지혈증
● 동맥경화증
● 60세 이상


복부대동맥류 증상은 무엇인가요?
대부분의 경우 특별한 증상이 없습니다. 특이증상은 대동맥류환자중 파열된 경우에만 나타납니다. 전체 대동맥류 환자중 약 12%에서 파열되며 이 경우에만 증상이 나타납니다. 증상이 있는 경우에는 가장 흔한 것이 극심한 복통 또는 흉통입니다.복부대동맥류가 파열되기 전에는 복부에서 동맥류의 두근거림또는 박동을 느끼기도 합니다. 만약 대동맥류가 주위의 장기를 누르는 경우에는 조금만 먹어도 배가 부르거나 구역질, 구토 등이 나타나고 때로는 요관을 눌러 요관의 부분폐쇄에 의한 증상이 나타나기도 합니다.
어떠한 검사를 받게 되나요?
복부 초음파
인체에 무해한 초음파를 투과시켜 반사되는 음파를 이용하여 영상을 만들어 진단하는 검사입니다. 검사하는 도중 환자에게는 전혀 통증이 없으며 대동맥류의 크기와 대동맥내의 혈전여부를 정확하게 파악할 수 있는 안전한 검사입니다.
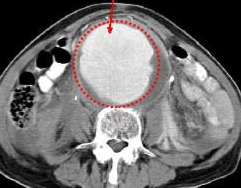
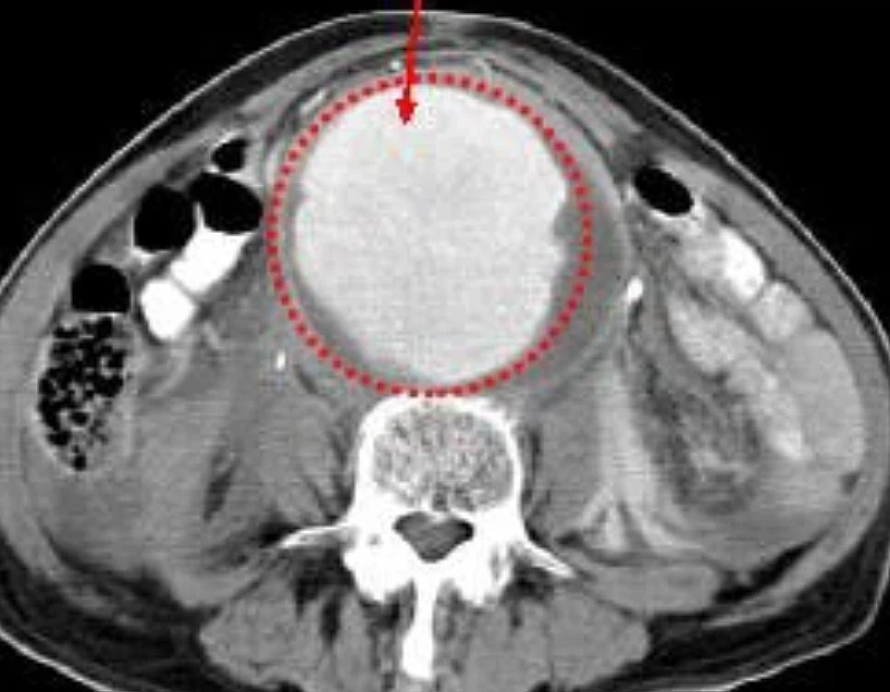
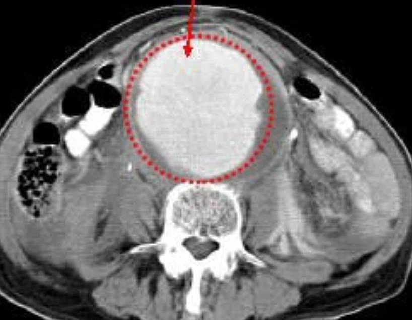
복부전산화단층촬영(Computed Tomography)
복부대동맥류의 조영에 가장 정확한 검사이며 동맥류의 크기나 범위, 다른 혈관과의 관계를 명확히 보여줍니다. 팔에 있는 정맥에 소량의 조영제를 주사한 후 CT로 동맥만 잘 보여주는 촬영방법입니다.

<복부전산화단층촬영 검사로 확인한 복부대동맥류사진>
동맥조영술(Arteriography)
팔 또는 다리동맥에 조영제를 직접 주사하여 동맥이 잘 보이게 하는 방법입니다. 동맥강의 크기 측정이나 분지동맥질환을 찾는데 유용하나 최근에는 전산화 단층촬영술이 더 보편적으로 활용되고 있으며 동맥조영술(또는 동맥촬영술)은 필요한 경우에만 선택적으로 시행되고 있습니다.
기타 수술 전 선행 되어야 하는 검사
동맥류 환자는 거의 대부분 고령이며 흔히 심장, 호흡기 또는 신장질환을 동반하는 경우가 많습니다. 따라서 심장기능을 평가하는 검사로 심장초음파와 관상동맥 CT검사가 선행되어야하며, 호흡기검사인 폐기능검사, 경동맥을 볼 수 있는 경동맥초음파 검사등을 기본적으로 시행하게 됩니다. 또한 약 5~10%에서 다리에 있는 슬동맥에도 동맥류가 동반되어 있을 수 있습니다. 따라서 다리에도 초음파검사를 시행하며 슬동맥류 여부를 확인하게 됩니다.
복부대동맥류 치료에는 어떤 방법이 있나요?
절개수술
동맥류에 접근하기 위해 환자의 복부나 측면을 절개하여 새로운 인조혈관으로 교체하는 방법입니다.

혈관내 시술(Endovascular Aortic Aneurysm Repair)
복부를 절개하지 않고 대퇴동맥(복부와 허벅사의 접혀지는 부분)을 통해 스텐트를 대동맥류가 있는 혈관 안쪽에 삽입하여 고정시키는 방법입니다. 이 시술방법은 절개 크기가 더 작기 때문에 불편감이 덜하고 입원기간도 짧으며 빨리 회복될 수 있으나 모든 경우에서 적용 될 수는 없습니다.
복부대동맥류 수술 후 합병증은 무엇인가요?
심근경색
수술 후 2일 내로 발생하며 가장 높은 사망요인입니다. 약 7% 정도에서 발생합니다.
경미한 신부전
미리 존재하는 신장질환이 있을 때 많이 발생하며 동맥경화성 색전, 조영제사용 등이 원인이며 약 6% 정도에서 발생합니다.
폐렴 또는 무기폐
수술후 호흡기의 기능이 회복되지 않은 상태에서 잘 생깁니다. 수술후 활발한 기침과 심호흡, 환자의 자세변경, 조기이상 등으로 예방이 가능합니다. 따라서 수술후에는 위의 사항을 가능한 빨리 시행하는 것이 권장됩니다.
수술 후 출혈
문합부위에서나 감지되지 않았던 정맥손상, 수술 중의 저체온이나 다량의 출혈에 따르는 응고부전 등에 기인할 수 있습니다.
하지의 허혈증
이식편으로부터의 혈전이나 색전에 의하여 발생가능하며 재수술이나 혈전제거술을 요하기도 합니다.
수술 후 장마비 증상
보통 수술 2~3일 후에 나타날 수 있습니다.
대장허혈증, 하지마비, 성기능 장애
지연 합병증 수술 부위에 감염이 생길 수 있으며 동맥류 복구 수개월 또는 수년 후에도 나타날 수 있습니다.
예방할 수 있는 방법은 있나요?
음식
저지방, 저콜레스테롤, 저칼로리 음식을 섭취하고, 일주일에 2회 이상 생채소를 먹는 것이 좋습니다.
운동
지속적이고 꾸준한 운동을 시행하여 전반적으로 건강한 몸을 만들며 정상체중을 유지하는 것이 좋습니다.
금연
담배 연기의 여러 가지 화학성분은 혈관의 내막을 손상시키고 불순 물질이 쌓이도록 하여 혈관이 좁아지거나 막히게 만듭니다. 소량의 담배나 간접흡연일지라도 위와 같은 악영향을 끼치므로 반드시 금연해야 합니다.
기저질환 관리
혈관질환 뿐만 아니라 모든 질환의 위험요소를 증가시키는 고혈압, 당뇨, 고지혈증에 대한 예방과 치료가 필요합니다.
복부대동맥류 수술 후 어떻게 관리하면 좋을까요?
수술이나 시술 후 몸이 회복되기까지 6주에서 3개월이 걸릴 수 있으므로 적어도 회복기간 동안은 스트레스, 인간 관계의 여러 가지 사건, 어떤 사실을 보고 흥분하는 일, 추운 겨울에 옥외로 뛰어나가는 등 급격히 혈압이 올라가는 일이나 무리한 일은 피하도록 합니다.
1주일에 3번 이상 20~30분 유산소 운동을 합니다. 등산, 달리기, 테니스 등의 강도 높은 운동은 치료 후 1~2달 정도 자제하는 것이 좋으며 다리근육을 강하게 만들어주고 혈류개선에 도움이 되는 걷기를 추천합니다.
높은 혈압은 혈관벽을 더 심하게 자극시켜서 동맥류를 더 커지게 하거나 파열시킬 수 있습니다. 따라서 혈압을 정상으로 잘 유지해야 합니다.
혈관내시술을 시행한 경우에는 혈관내 삽입된 스텐트가 잘 자리잡고 있는지, 수술부위의 이상은 없는지 등 지속적인 관찰이 중요하므로 정기적인 외래 진료가 필요합니다.
하지정맥류 증상 좋은운동
오늘은 종아리와 관련된 질환인 하지정맥류에 대해 정리해 보겠습니다. 간혹 많이 서있거나, 오래 앉아있는 분이라면 다리에 문제가 있다고 의심 될때가 있을 것입니다. 다리 피로가 심하다던
goodfor.infoma.kr
림프부종 알아보기
오늘은 림프부종에 대해 알아보겠습니다. 림프부종은 림프관이 손상되어 팔이나 다리에 만성염증과 부종이 생기는 질환을 의미합니다. 목차 1. 림프부종은? 2. 림프부종의 분류 3. 림프부종의 특
goodfor.infoma.kr
신장이 안좋으면 나타나는 증상
이번 건강정보는 신장이 안좋으면 나타나는 증상에 대해 알아보겠습니다. 신장병은 의외로 흔한 질병으로 노인들에게서 많이 발병하고 있습니다. 소리없는 질병으로 불리는 신장병. 하지만 조
goodfor.infoma.kr
