티스토리 뷰
오늘 건강정보는 대동백 질환 중 대동맥박리와 대동맥류에 대해 알아보겠습니다.
목차
1. 대동맥질환이란?
2. 대동맥류란?
3. 대동맥류의 증상
4. 대동맥류의 진단
5. 대동맥류의 치료
6. 대동맥박리란?
7. 대동맥박리의 증상
8. 대동맥박리의 치료
대동맥질환이란?



대동맥이란 우리 몸에서 가장 큰 혈관으로 심장과 직접 연결되어 있으며 온몸에 혈액을 공급하는 주 통로가 되는 곳입니다. 대동맥에서 발생할 수 있는 질환으로는 대표적으로 대동맥박리와 대동맥류를 들 수 있습니다.
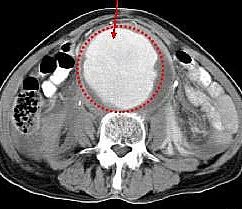
대동맥류란?
대동맥은 심장에서 나와 가슴 부위의 흉부대동맥을 지나 복부로 내려오는데 이를 흉복부대동맥이라고 부르며, 횡격막을 기준으로 위쪽 대동맥에 생기면 흉부대동맥류, 횡격막 아래의 대동맥에 생기는 것을 복부 대동맥류라고 합니다. 대동맥류는 시간이 지나면 점점 커져 결국에는 파열하는데 이는 환자가 급사할 수 있는 무서운 질환입니다.
대동맥류의 증상
• 대부분은 무증상
• 지속적인 복부통증
• 허리통증이 양쪽 대퇴부와 다리 통증을 동반
• 배에서 심장박동 느낌
• 배에서 몽우리가 만져짐
• 식도를 눌러 음식물을 삼키기 힘듦
• 목소리 신경을 눌러 쉰 목소리가 남
•대동맥 파열 시 맥박이 빨라지고 심하게 목이 마른 증상, 심한 통증, 어지러움, 구토
대동맥류의 진단
대동맥류는 초음파, CT, 혈관조영술로 진단할 수 있습니다.
대동맥류의 치료
스텐트 삽입술
대동맥 내부에 혈관 내 이식편을 넣어 동맥류를 차단하고 혈액이 흐르는 새로운 통로를 만들어 줍니다.



대동맥 치환 수술
수술은 늘어난 대동맥을 제거하고 인조혈관을 치환하는 수술을 합니다
대동맥박리란?



대동맥 안쪽 벽이 손상되어 혈액이 대동맥의 내막을 뚫고 중막으로 흘러 들어가면서 두 막을 분리 시키면서 다양한 질환을 초래하는 현상을 말합니다.
대동맥박리의 증상
• 양견갑골 사이, 흉부의 앞 또는 뒤쪽에 매우 심한 찢어지는 듯한 통증
• 발한, 실신, 호흡곤란, 쇠약감
대동맥박리의 진단
대동맥박리는 초음파, CT, 혈관조영술로 진단할 수 있습니다.
대동맥박리의 치료
스텐트삽입술
대동맥벽이 파열된 시작부위를 스텐트삽입하여 파열을 막고 진강을 확장시켜 혈류를 확보하게 되는 시술입니다.
대동맥 치환술
박리과정이 상하로 진행되는 것을 방지하고, 내막 열상 부위를 절제해주며 파열의 가능성이 가장 큰 대동맥 부위를 인조혈관으로 치환하여주는 것입니다.
퇴원 후 관리
아래와 같은 증상이 있을 시 의료진에게 연락하시기 바랍니다.
동맥류의 팽창 또는 파열
가장 일반적인 증상은 다리, 허리, 가슴 또는 복부에 발생하는 통증이며 무감각이나 쇠약이 발생할 수도 있습니다. 또한 현기증, 졸도, 빠른 심장박동 또는 돌연한 쇠약등도 보일 수 있습니다.
하지폐색
걷는 동안 둔부 또는 다리에 발생하는 통증, 다리의 변색이나 냉기가나타납니다.
복부대동맥류 총정리
이번 건강정보는 복부대동맥류에 대해 알아보겠습니다. 복부동맥류는 복부내에 가장 큰 혈관인 대동맥 벽이 약해져 늘어나는 질병입니다. 목차 1. 복부대동맥류란? 2. 심각한 상태인가요? 3. 복
goodfor.infoma.kr
하체 운동 종류 허벅지 근육 강화 운동
오늘 건강정보는 하체 운동법 (Lower Extremity Exercise)에 대해 알아보겠습니다. 운동전에 스트레칭을 먼저하고 하체 강화 운동을 진행하시길 바랍니다. 목차 1. 하체 운동 시 주의 사항 2. 하체 스트
goodfor.infoma.kr
동정맥루 수술 안내
혈액투석을 위한 도관 삽입술에 이어서 동정맥루란 무엇인지 알아보겠습니다. 목차 1. 동정맥루란? 2. 혈액투석 동정맥루 준비 3. 동정맥루 관리 동정맥루란 무엇인가요? 혈액투석을 받기 위해서
goodfor.infoma.kr
