티스토리 뷰
의학 기술의 발달로 뇌동맥류를 미리 발견할 경우, 뇌동맥류 결찰술이나 코일 색전술을 시행하여 과거에 비해 비교적 안전하게 치료가 가능해졌습니다. 따라서 뇌출혈은 예방이 가능한 질환으로 인식되고 있습니다.
목차
1.뇌동맥류란?
2.뇌동맥류 전조증상
3.뇌동맥류 검사
4.뇌동맥류 치료 수술
뇌동맥류란?
뇌동맥류(Cerebral Aneurysm)는 뇌혈관의 일부분이 풍선처럼 부풀어 오른 것을 말하며 혈관 벽이 약해진 부위에 주로 발생하여 파열 시 뇌출혈(뇌지주막하 출혈)을 유발하는 질환으로 보통 40~60대에 나타납니다.



일반적으로 뇌지주막하 출혈의 원인인 뇌동맥류는 국내 인구의 약 15%를 차지하며, 매년 인구 10만 명 당 10~20명에서 파열되어 뇌지주막하 출혈을 발생시킵니다. 뇌동맥류가 파열되는 경우 약 30% 환자는 출혈과 동시에 사망하는 것으로 알려져 있으며 병원에서 치료를 받은 환자들 중 50%는 심한 장애를 갖게 되거나 치료를 받더라도 사망하게 됩니다.
뇌동맥류 전조증상
뇌동맥류 발생하기 전에 어떤 신호를 통해서 알아차릴 수 있는지 알아보겠습니다.
• 진통제를 비롯한 어떤 약물을 먹더라도 개선되지 않는 편두통과 긴장성 두통
• 갑작스럽게 느껴지는 어지러움, 의식저하
• 두통을 동반한 경련성 발작, 마비 증상
• 빛을 보면 민감하고 눈부심, 시력저하
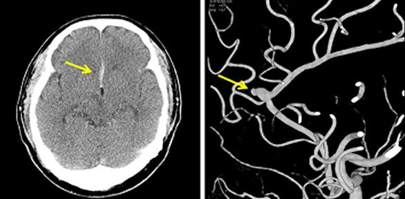
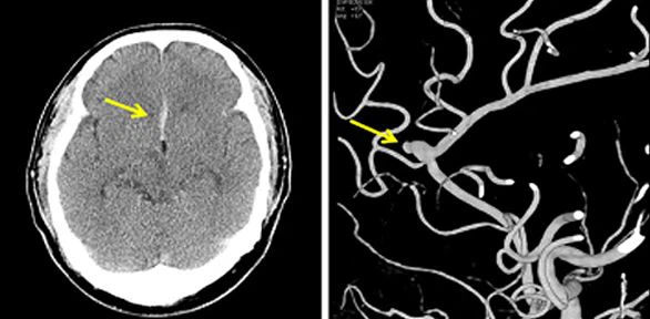
뇌동맥류 검사
특히 뇌동맥류가 두 번 이상 터질 경우에는 70~80%에서 심한 후유증을 남기거나 생명을 잃게 됩니다. 뇌동맥류가 터지기 전에 CT 조영 촬영(CTA)이나 MRA를 촬영하면 약 95%이상에서 뇌동맥류를 발견할 수 있습니다. 치료 방법을 결정하기 위한 가장 중요한 검사는 뇌혈관 촬영인데 1-2일 정도 입원이 필요합니다.
뇌동맥류 치료 수술
뇌동맥류의 치료는 동맥류의 출혈을 막는 것이 주된 목적입니다. 치료 방법으로는 머리를 열고 수술하는 뇌동맥류 결찰술(클립)과 혈관내 수술을 통해 백금코일을 동맥류내강에 삽입하는 뇌동맥류 색전술(코일)이 있습니다. 환자의 연령, 전신 상태, 동맥류의 위치, 크기, 모양 등에 따라 수술방법 및 시기를 결정하게 됩니다.


뇌동맥류 결찰술(클립)과 뇌동맥류 색전술(코일)의 종류는 모양과 길이, 기능에 따라 매우 다양하며, 최근에는 이 두 가지 치료법을 복합적으로 사용하여 보다 완벽하게 뇌동맥류를 치료하고 있습니다. 하지만 항상 뇌동맥류의 치료는 항상 위험성이 따르므로 치료의 선택에 신중을 기해야 합니다.



오랫동안 고혈압이 있는 환자, 심한 두통이 있거나 손발마비, 감각의 저하, 두통, 메스꺼움, 어지럼증 등 전조증상을 보이는 경우 반드시 전문기관을 찾아야 합니다. 필요한 경우 정기적인 검사와 발병요인의 치료를 통해 뇌출혈을 미리 예방하여야 합니다.


특히 금연과 고혈압의 치료는 무엇보다 중요합니다. 뇌동맥류의 유전 여부는 명확하지 않으나 가족 중 뇌졸중 환자가 있는 경우에도 전문기관에서의 검사가 반드시 필요합니다.
버거병 증상 치료방법
이번 건강정보는 햄버거병이라고 불리는 버거병에 대해 알아보겠습니다. 발가락 끝이 괴사하고 심한 경우 사지 절단까지 해야 되는 무서운 병입니다. 미리 관리하고 예방하시기를 바랍니다. 목
goodfor.infoma.kr
심장 내 기기삽입 환자를 위한 안내서
목차 1. 인공심박동기(Pacemaker)란? 2. 이식형 제세동기란? ICD 3. 심장 재동기화 치료란? CRT 4. 퇴원 후 관리 5. 기기 삽입 후 일상생활 6. 기기 검사결과 7. 기기 삽입 후 MRI 및 수술 시 8. 재택의료 전화
goodfor.infoma.kr
임신성 당뇨병 관리 방법
오늘의 건강정보는 임신성 당뇨병에 대해 알아보겠습니다. 혈당조절이 되지 않아 인슐린쇼크를 일으킬 수 있고, 태아의 기형 가능성과 심하면 태아의 사망까지 이르게 할 수 있기 때문에 혈당
goodfor.infoma.kr
