티스토리 뷰
서구화된 식습관과 늦은 시간에 야식을 시켜먹는 문화 등으로 인해 현대인들의 가장 많이 않는 질환 중 하나가 역류성 식도염입니다. 역류성 식도염 증상을 개선하며 역류성 식도염 자연치료 방법을 알아야 합니다. 오늘은 역류성 식도염 자연치료 할 수 있는 방법에 대해 살펴보겠습니다.
역류성 식도염 증상 , 역류성 식도염 자연치료 방법



역류성 식도염이란?
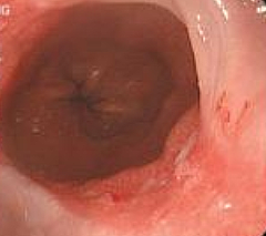
역류성 식도염 증상이란? 섭취한 음식물이 식도로 다시 역류하여 식도에 염증을 불어일으키는 것을 뜻합니다. 따라서 평소 식습관중에서 커피나 기름진음식을 즐겨 먹다가 어느날 위산이나 위액이 다시금 식도로 역류하는 것입니다. 이때 식도 점막을 자극시켜 염증이 생기며 나중에는 이것이 역류성 식도염으로 발전하게 됩니다.
우리나라 100명 중 10명이 식도염 증상을 겪고 있다고 합니다. 지속적으로 역류성 식도염이 반복된다면 진료를 받아보는 것이 좋습니다. 이 증상은 치료 후 호전이 되더라도 다시 재발 가능성이 높아 평소에 꾸준한 관리가 필요합니다.
대표적인 역류성 식도염 증상
목 넘김이 괴로워 음식을 삼키기 어려운 경우, 음식물이 식도에서 내려가지 않고 걸려있는 듯한 느낌을 받습니다.
명치에서 목쪽으로 올라오듯이 속쓰림을 느끼는 증상입니다.
역류성 식도염 증상 중 가슴속에서 타는듯한 뜨겁고 따끔하다는걸 느낍니다
시큼한 맛이 느껴지는 신물이 위에서 목으로 넘어오는 경우.
역류성 식도염 증상으로 간혹 협심증으로 오해할수도 있는 증상으로 가슴통증을 느낍니다.
평소에 잘먹던 식욕이떨어지며 식사 후 소화불량을 느끼며 상복부가 답답하고 불편한 경우.
잔기침이 나면서 목소리가 변화는 경우(쉰 목소리)
위 증상중 2가지 이상 본인에게 해당된다면 전문의와 상의 해보는 것을 권장드립니다.



역류성 식도염 원인
식도 괄약근 기능 저하
식도는 목에서부터 위장까지 음식물이 전달되는 통로를 뜻합니다. 3개의 근육층과 4개의 협착부로 구분 지을 수 있습니다.이 중 가장 하단에 위치한 횡격막 협착부에 하부식도 괄약근이 존재합니다. 이는 식도의 움직임을 조절하는 근육으로 제 기능을 하지 못하는 경우 역류성 식도염으로 이어지게 됩니다. 기름진 음식, 커피같은 자극적인 음식을 섭취하거나 특정 약물을 자주 복용할 경우 하부식도 괄약근의 압력이 줄어들면서 위산, 위액이 역류하게 됩니다.



불규칙적인 생활 습관
역류성 식도염 증상은 불규칙적인 생활 습관과 스트레스로 발생 할 수 있습니다. 현대사회는 많은 사람들이 항상 경쟁 속에 살아가다 보니 식사하는 시간을 아까워하고 식사 평균 시간이 10분도 채 걸리지 않다고 합니다. 이처럼 빨리 먹는 습관은 역류성 식도염뿐만 아니라 신체의 전반적인 기능을 떨어뜨리는 원인이 됩니다.
역류성 식도염 자연치료 방법
역류성 식도염 증상은 잘못된 식습관에서 발생된 질병으로 식생활 패턴 개선을 통해 자연 치유 될 수도 있습니다. 아무리 배가 고파도 단시간에 과식은 피하며 여러 번에 걸쳐 나눠서 음식물을 섭취합니다. 취침 전 야식 먹는 습관을 바꾸는게 가장 중요합니다.
- 음식물은 최대한 꼭꼭 씹어먹고 식사 중 가급적이면 물 섭취를 제한합니다.
- 식사 후 간단한 운동은 소화에 좋은 영향을 주며 역류성 식도염 증상에 도움이 됩니다.
- 침대에 누웠을 때 역류 증상이 나타난다면 하체보다 상체를 조금 더 위로 올려서 수면을 취합니다.
- 식후에는 바로 눕는 습관을 피하고 적어도 식후 3시간이내에는 눕지 않도록 합니다.
- 취침 3시간 전에는 음식을 먹지않습니다
- 커피, 기름진 음식, 음주, 초콜릿 등 식도 괄약근에 무리가 가는 음식은 줄여 줍니다.
- 탄산음료, 그 외 산이 강한 주스등 음식은 역류성 식도염 증상을 직접적 영향을 줍니다.
- 흡연, 음주 역류성 식도염 증상을 바로 일으키는 주범입니다. 이는 위산 과다 촉진으로 위괄약근 힘을 떨어뜨리는 아주 안좋은 습관 중 하나입니다.



역류성 식도염에 좋은 음식
바나나
바나나는 대표적인 알칼리성 식품으로 '천연 제산제'라는 별명처럼 위산을 중화하는 효과가 있습니다. 검게 잘 익은 바나나가 더욱 효과가 좋다고 합니다.



감자
감자는 대표적인 알칼리성 식품 중 하나로 많은 양의 '사포닌' 성분을 가지고 있습니다. 사포닌 성분은 위산을 억제하고 위산이 역류하는 것을 방지해 역류성 식도염에 도움이 됩니다.



양배추
양배추는 장뿐만 아니라 역류성 식도염에도 도움이 됩니다. 양배추속에는 다량의 비타민 U가 함유되어 있어 위장 점막을 보호하고 파괴된 세포의 재생에도 도움을 받을 수 있습니다. 또 양배추는 섬유질이 풍부한 음식 중 하나로 소화를 촉진하는 효과가 있습니다.



여기까지 역류성 식도염 증상과 역류성 식도염 증상 자연치료 방법등을 알아보았습니다. 식도염 증상이 자주 발생한다면 자연치료에 의존하기보다 병원에 방문하여 정확한 진단을 받은 후 전문적인 치료를 받는 것을 권장합니다. 방문해주셔서 감사합니다.
내시경 후 최대 50만원 받는 방법
오늘의 포스팅은 지난 3년 동안 내시경을 받아 본 사람들이라면 꼭 아셔야 하는 정보를 가지고 왔습니다. 바로 내시경 받은 후 지급받을 수 있는 돈이 있다는 겁니다. 하지만 불행히도 많은 사람
goodfor.infoma.kr
산소포화도 정상범위 측정기 구매시 주의사항
요즘 폐관련 질환으로 ‘산소포화도 측정기’가 유례없는 관심을 받고 있습니다. 그런데 자가격리시 준비하는 상비약이나 체온계 등에 비해 산소포화도 측정기는 아직 낯선 도구입니다. 병원
goodfor.infoma.kr
땅콩 효능 이렇게 먹으면 체중관리에 좋아요
이번 건강정보는 고지방 고단백 식품으로 알려진 땅콩 효능을 알아보고, 건강에 어떤 영향을 미치는지 확인해 보는 시간을 갖겠습니다. 고소한 땅콩버터는 빵에 발라먹거나 소스를 만드는 등
goodfor.infoma.kr
