티스토리 뷰
이번 건강정보는 당뇨병성 혈관질환의 진단 검사 중 심혈관 조영술 과정에 대해 알아보겠습니다.
목차
1. 심혈관조영술이란?
2. 심혈관조영술 검사과정검사 전 준비사항, 검사 당일, 검사 중, 검사 후 관리
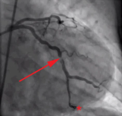
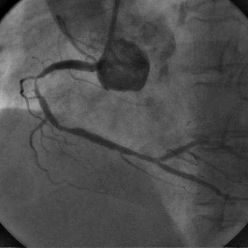
심혈관조영술이란?
협심증, 심근경색을 진단하는 가장 정밀한 검사로 카테터라고 불리는 직경이 가는 플라스틱관(직경 2mm, 길이 약 1~2m)을 손목(요골동맥)이나 사타구니(대퇴동맥)를 통해 삽입하여 심장에 도달시킨 뒤 관상동맥 조영제를 주사하고, X-선을 이용하여 촬영하게 됩니다. 이를 통해 관상동맥의 비정상적인 구조나 폐색, 협착 부위를 확인하고, 약물치료나 경피적 관상동맥 중재술 또는 관상동맥우회술 등의 치료방향을 결정하게 됩니다.
심혈관조영술 검사과정
심혈관조영술 검사 전 준비사항
입원환자의 경우 검사 전 6~8시간 전부터 금식이 요구되며 이는 검사 중 발생하는 오심이나 구토로 인해 음식물이 기도로 흡인되는 것을 방지하기 위함입니다.
당뇨환자는 금식과 함께 당뇨약(인슐린)도 복용하지 않습니다. 수액주사를 맞으며 금식으로 인한 탈수를 예방하고 조영제 배설을 촉진합니다. 조영제 과민반응이 있는 경우 사전에 의료진에게 알립니다.
입원환자는 검사 전날 밤에 카테터가 삽입되는 부위(손목 또는 서혜부)의 감염을 예방하기 위해 피부 준비를 합니다. 가임기 여성의 경우는 임신 여부를 확인해야 합니다.



심혈관조영술 검사 당일
반드시 보호자와 함께 검사해야 합니다. 심혈관 촬영실에서는 시계, 반지, 틀니, 안경, 콘택트렌즈 등을 착용해서는 안되므로 미리 빼서 안전한 곳에 보관하며, 속옷은 미리 벗고 검사복만 입도록 합니다.
입원 환자의 경우 검사 전 진정제와 항히스타민제를 투약하게 되는데 이는 검사에 대한 불안을 줄이고 긴장을 완화시키기 위함이며, 조영제에 대한 과민반응을 예방하기 위함입니다. 검사 전 배뇨 후 검사실로 갑니다.



심혈관조영술 검사 중
검사시간은 약 30분~1시간이 소요되며 중재시술이 이루어질 경우 그 이상 소요됩니다.
국소마취 후 동맥에 카테터가 삽입됩니다. 검사 시에는 의사의 지시에 따라 행동하며, 시술 부위는 구부리지 않도록 합니다.
혈관 촬영 시 카테터를 통해 조영제가 투입되는데 이때 흉부나 복부 또는 전신에 화끈한 느낌, 두통, 짧은 흉통, 항문 주위로 흐르는 느낌, 입에서 느껴지는 약 냄새 등이 있을 수 있으며 이는 곧 사라집니다.
검사가 끝나면 의사는 카테터를 제거하고 지혈을 위해 카테터 제거 부위를 압박합니다. 이때 약간의 저린감이 있을 수 있습니다. 지혈하는 동안 어지러움증이나 오심, 구토, 요통 등의 증상이 나타나거나 선홍색의 출혈이 있는 경우 즉시 의료진에게 알려야 합니다.



심혈관조영술 검사 후 관리
검사 결과 이상이 없으면 안정 후 퇴원합니다. 하지만 중재시술을 하게 되면 심장계 중환자실에서 하루 정도 경과를 관찰하며, 약 2박 3일 정도 입원하게 됩니다. 카테터 삽입 부위와 지혈 기구에 따라 안정 시간이 달라지며, 출혈이나 혈종 등의 합병증이 발생할 시 안정시간이 길어질 수 있습니다.
심혈관조영술 검사부위별 관리
사타구니(대퇴동맥) -약 6시간
똑바로 눕는 자세에서 시술한 쪽 다리를 구부리지 말아야 합니다. 중재시술을 한 경우 혈액을 묽게 하는 약(헤파린)을 더 많이 사용하기 때문에 다음날 아침까지는 자세를 유지하도록 권장합니다.
손목(요골동맥) - 약 3~4시간
손목의 압박밴드는 지혈을 위해 감아놓은 것으로 3~4시간 뒤 한 번 풀고 소독을 합니다. 손목 아래 부분이 창백하게 변하거나 밴드 사이로 붉은색 피가 배어 나오면 즉시 간호사에게 알려야 합니다.
지혈하는 동안 어지럼증이나 오심, 구토, 요통 등의 증상이 나타나거나 선홍색의 출혈이 있는 경우 즉시 의료진에게 알려야 합니다. 조영제는 신장에 독성이 강하므로 배출을 위하여 수액을 주입하며, 물을 충분히(1리터 이상) 마시고 소변은 자주 보는 것이 좋습니다.
심혈관조영술 부작용
조영제 부작용으로 구토, 두드러기, 가려움, 얼굴이 붉어짐, 기침, 쉰 목소리, 콧물, 반점, 일시적 호흡곤란이나 저혈압이 발생할 수 있습니다. 이와 같은 증상이 발생하면 즉시 의료진에게 알려야 합니다.
오심이나 구토가 없다면 의료진의 지시에 따라 물과 음식을 섭취할 수 있습니다.
환자상태 평가와 검사 부작용 관찰을 위하여 수시로 혈압, 맥박, 호흡, 체온을 측정하며, 카테터 삽입 부위의 혈액순환을 평가하기 위해 발등이나 손을 만져보고 색, 온도, 맥박의 변화를 관찰합니다.
심혈관조영술 퇴원 후 관리
2차 출혈을 방지하기 위해 손목의 압박밴드는 소독 후 다시 차게 됩니다. 귀가 후 다음 날 아침 제거합니다. 검사 후 3일 동안 검사했던 손목에 압박이나 힘을 가하지 않습니다.
퇴원 후 1주 정도 무리한 활동을 하지 않고, 가벼운 샤워는 가능하나 검사부위 염증 방지를 위해 목욕은 1주일 동안 하지 않습니다. 퇴원 후 카테터 삽입 부위에 혈종이나 통증이 발 생하면 의료진에게 알리거나 병원으로 와야 합니다.
고열, 통증, 출혈, 피부 반점, 오심, 흉통, 호흡곤란과 같은 응급증상 발생 시 외래방문 가능한 시간에는 외래로, 그 외의 경우 응급실로 내원합니다.
미주 신경성 실신 기립경 검사 알아두기
생소한 검사를 하려면 막연한 두려움이 앞서는데 조금 공부를 해두면 마음의 안정을 찾을 수 있습니다. 이번 글은 기립경 검사에 대한 정보를 정리해 보겠습니다. 목차 1. 기립경 검사란 (Head up t
goodfor.infoma.kr
뇌동맥류 증상 치료방법
의학 기술의 발달로 뇌동맥류를 미리 발견할 경우, 뇌동맥류 결찰술이나 코일 색전술을 시행하여 과거에 비해 비교적 안전하게 치료가 가능해졌습니다. 따라서 뇌출혈은 예방이 가능한 질환으
goodfor.infoma.kr
버거병 증상 치료방법
이번 건강정보는 햄버거병이라고 불리는 버거병에 대해 알아보겠습니다. 발가락 끝이 괴사하고 심한 경우 사지 절단까지 해야 되는 무서운 병입니다. 미리 관리하고 예방하시기를 바랍니다. 목
goodfor.infoma.kr
