티스토리 뷰
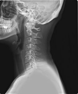
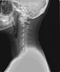
오늘 건강 정보는 목디스크 증상과 원인에 대해 알아보겠습니다. 엑스레이로 목을 촬영하면 목뼈가 c 곡선을 유지하는 것이 정상이라고 합니다. 하지만 요즘은 그렇지 않은 경우가 많은데요. 책상 앞에 앉아 있는 시간이 많기 때문에 머리를 숙이고 책을 보거나, 휴대 전화와 태블릿을 사용함으로써 잘못된 자세를 취하고 있기 때문에 목뼈의 배열이 흐트러지는 경우가 많습니다.






그래서 현대인들에게는 이러한 뼈 질환으로 목 디스크가 증가하고 있습니다. 뼈는 스스로 상태를 확인하는 데 어려움이 있습니다. 거북목이나 일자목이 되어 목디스크 증상이 발생하면, 경추 통증이 발생하고 생활에 많은 악영향을 미칠 수 있습니다. 목디스크는 바른자세를 취하지 않아 젊은분들에게도 많이 일어나는 추세이기 때문에 관심이 필요합니다.이 목디스크 증상 원인과 치료법을 살펴 봅니다.
목디스크란?
목을 받쳐주는 뼈를 경추라고 하는데 여기는 뼈가 7개 있고 이 뼈 마디마다 디스크라는것이 있습니다. 이 디스크의 역할은 척추 뼈 사이에 충격을 완화하고 운동할 수 있게합니다. 목디스크는 퇴행성 척추 질환으로 목 주위 근육, 인대가 장기간 압력을 받고 퇴행하여, 디스크가 자신의 역할을 하지 못하고 밀려나고 통증과 같은 목디스크 증상을 보이는 질병입니다. 이 디스크의 위치가 어디에 있는지에 따라 목 이외에도, 손이 저리거나 어깨가 아프고 두통과 같은 다른 목 디스크 증상을 일으킬 수 있습니다. 만약 여러분이 디스크를 그대로 방치하면, 몸이 마비되거나 호흡이 곤란한 상황에 처할 수 있기 때문에 여러분의 관심을 필요로 할 것입니다.



목디스크 원인
목디스크의 여러 가지 원인이 있지만, 몇 가지를 살펴보면, 낙상과 교통 사고로 인해 손상이 발생할 수 있으며, 현대인들에게 많은 일이 일어나는 잘못된 자세가 목디스크를 초래한다고 말할 수 있습니다. 이런 잘못된 자세를 보면, 우리가 핸드폰을 오랫동안 구부러진 상태로 사용하는 것이 매우 일반적입니다. 핸드폰뿐만 아니라 컴퓨터나 책을 볼 때 목을 쭉 뻗는 자세, 직장이나 어디에서나 무거운 짐을 들 때 한쪽으로만 무게를 두는 습관, 잠을 잘 때 사용하는 베개도 자신의 몸매에 맞지 않아 목디스크 원인이 될 수 있습니다.
목디스크 증상
몸에 이상이 오면 우리 신체가 반응하게 됩니다. 목디스크 증상은 목에서부터 나쁜 징후가 나타날 수 있기 때문에 아래 몇 가지 증상을 살펴보겠습니다.
가장 흔한 목 디스크 증상 중 하나는 목이 뻣뻣해지면서 뻐근한 느낌을줍니다. 이런 느낌이 갑자기 느껴지지는 않았지만, 장기간 지속된다면 목디스크를 의심할 수 있습니다. 우리는 고개를 들어 하늘을 올려다 보는 일이 거의 없을 것이라고 생각합니다. 목이 뒤로 젖힐 때, 목이 편안하지 않고 통증이 있다면, 목디스크 증상이 있을수있습니다.



두통은 또한 목디스크 증상 중 하나일 수 있습니다. 디스크로 인해 목 주위에 근육이 뭉쳐져 원활한 혈액 순환을 방해하기 때문에 두통이 올 수 있습니다. 목을 지나 뇌로 혈액이 원활하게 공급되어야 합니다. 뇌로가는 원활한 혈액 공급을 목 디스크가 방해하여 그 원인이 될 수 있기 때문에 두통도 의심할 수 있습니다.
목디스크 증상 다음으로는 어깨와 팔, 손, 등, 어깨가 뻣뻣하게 뭉치는 감과 근육통이 느껴집니다. 어깨나 팔과 손이 목과 함께 신경이 이어져 있어서, 목의 신경 부분이 전체 신경을 영향을 줄 수 있습니다. 팔까지 통증이 있을 때 손을 하늘 위로 올리면 통증이 완화됩니다.
또 다른 목디스크 증상은 어지러움을 유발할 수 있습니다. 이 어지러움과 같은 증상은 정확히 원인이 밝혀지지 않았지만, 디스크가 신경을 압박하여 소화가 좋지 않고 메스꺼움이나 수면 장애와 눈이 멀게하는 통증을 유발할 수 있습니다.



어깨나 팔, 손 부위에 영향을 줄 수 있는 목디스크 증상을 말씀드렸는데, 이 증상은 더 내려와서 하반신 저림까지 나타날 수 있습니다. 목에 많은 신경이 있기 때문에 팔, 손, 신경이 하반신에 영향을 미치고 다리가 저리는 증상을 느낄 수 있습니다.
목디스크 치료
우선, 목디스크 치료 이전에, 이 질병은 편타성 손상의 이유로 질병을 일으키지 않는 한, 올바른 습관을 가지고 유지하면 예방할 수 있습니다. 우리가 보통 걸을 때 턱을 당기고, 배에 힘을 준다는 생각으로 걸으면 도움이 되고, 책을 볼 때도 눈 높이를 맞추고, 받침대를 사용하고, 잠을 잘 때 베개도 쿠션이 어느 정도 있고 너무 높지 않은것을 사용하는게 좋습니다. 컴퓨터나 휴대전화를 사용할 때도 항상 고개를 숙이는 것을 피하는 것이 목에 부담을 덜어주고 목디스크 증상 예방에 좋습니다.



척수라는 중추신경이 목뼈를 통과하고 목 아래 감각과 운동신경에 영향을 미치기 때문에 목디스크 증상이 나타날 경우 신속한 대책이 필요합니다. 목디스크 치료는 일반적으로 초기 단계에서 대부분의 환자가 물리 치료 또는 약물을 통해 개선됩니다. 그렇지 않으면 신경 성형술과 차단술이라는 뼈 주사 목 디스크 치료법을 사용합니다.이 치료법은 통증이 나타나는 신경 부위에 약물을 주입하는 것입니다. 치료로 질병을 완전히 치료하는 것이 아니라 염증을 완화하고 통증을 줄이는 것이 중요합니다.
3개월 이상 비수술적 치료를 받았음에도 불구하고, 만약 그들이 호전되지 않는다면, 목디스크 치료 중 수술을 고려할 필요가 있습니다. 인조 디스크를 삽입하기 위해 절개를 통해 디스크를 제거하고 뼈를 하나로 묶는 것과 내시경 수술로 빠져나온 수핵 자체만 제거하는 방법이 있다고 합니다.



여기까지 목디스크 증상과 원인, 치료 방법에 대해 알아보았습니다. 위에서 설명했듯이, 디스크가 빠져나가서, 제자리에 있어야 할 디스크가 빠져 나와 이상이 되는 것인데요. 요즘 현대에서는 잘못된 자세로 인해서 많이 발생하고 있는데, 방치할 경우에 신경을 점점 압박하기 때문에 신체 전체에 문제를 일으킬 수 있습니다. 때문에 간과해서는 안 될 문제입니다. 목디스크 증상을 잘 인지하고 평소에 바른 자세습관으로 예방을 해서 건강한 척추관리를 해 주시기 바랍니다.
목디스크에 좋은 운동
이번 글은 목디스크에 좋은 운동에 대해서 알아보겠습니다. 최근 현대인의 잦은 스마트폰 사용으로 병원을 찾는 환자가 급증하고 있습니다. 특히 하루 종일 스마트폰을 들여다보는 20대 젊은층
goodfor.infoma.kr
허리디스크에 좋은 운동
이번에는 허리디스크에 좋은 운동과 자가진단법, 허리디스크 증상을 알아보겠습니다. 현대인들이 삶에서 벗어날 수 없는 것 중에 근골격계 증상이 빠질수 없습니다. 이 중 유독 문제를 일으키
goodfor.infoma.kr
혈압 정상수치 고혈압 저혈압
서구화된 식습관과 고령화로 인해 고혈압 환자비율이 점점 늘어나고 있는데요. 만성질환 중 하나로 특별한 초기증상이 없고, 발병 했을때 몸에 심각한 해가 되는 혈압 문제들. 이번 포스팅은 혈
goodfor.infoma.kr
