티스토리 뷰
오늘은 뇌경색 초기증상에 대해 알아보는 시간을 갖겠습니다. 뇌경색 대표적인 초기증상으로는 갑자기 나타난 현기증이나 어지럼증 현상이 있습니다. 뇌경색은 뇌 속의 혈관이 막히면서 그 주변의 뇌 세포가 죽게 되는 질병입니다.



뇌경색이란
갑자기 뇌혈관이 막히면 뇌의 일부가 손상되고 정상적인 활동이 불가능하게 되며 장애가 나타나게 됩니다. 이를 뇌경색이라고 합니다. 목 부분에 있는 경동맥, 척추, 기저동맥부터 뇌 안에 있는 동맥까지 어느 혈관이든 막힐 수 있는데, 이로 인해 해당부위의 뇌가 괴사하면서 지속적으로 증상이 발생할 수 있습니다
간혹 뇌졸중이나 뇌출혈과 혼동하는 경우가 있는데, 혈관이 막혀서 뇌에 피가 공급되지 않으면 뇌경색이고, 뇌속의 혈관이 터지면 뇌출혈이라고 합니다. 그리고 이 두 질병을 합쳐서 뇌졸중이라고 부릅니다. 과거에는 뇌출혈 환자가 많았지만 최근에는 전체 환자의 60~70%가 뇌경색 환자입니다. 건강보험심사평가원 자료에 따르면 2018년 뇌출혈로 병원을 방문한 환자는 99,811명이고 뇌경색 환자는 503,241명으로 뇌경색 환자가 5배 이상 많습니다.
뇌경색 종류
뇌경색은 원인에 따라 뇌혈전증과 뇌색전증으로 구분할 수 있습니다. 뇌혈전증은 뇌혈관 자체에 혈전이 나타나서 혈관이 점차 좁아지다가 막히는 질병입니다. 반면 뇌색적은 심장 등 다른 부위에서 나타난 혈전이 혈관을 타고 올라와서 뇌동맥을 막는 것을 말합니다. 뇌경색은 죽어가는 뇌세포를 살리기 위해 1분 1초가 중요한 응급질환입니다. 증상이 발생한 후 3시간 이내로 치료를 해야되서 초기 증상이 나타났다면 즉시 병원에 방문해야 합니다.



뇌경색 초기증상 7가지
뇌경색 초기증상 1. 어지러움증
뇌경색 초기증상 첫 번째, 어지러움증은 체내 혈관의 혈전이 발생되어 혈액 순환이 어려워지게 되면서 발생하게 됩니다. 동시에 메스꺼움이나 구토가 발생할 수도 있습니다. 만약 어지러움증이 계속된다면 뇌경색을 의심해보시고 초기 진찰을 받아보시길 바랍니다. 또한 갑자기 현기증이 나면 발이 휘청거릴 수 있습니다. 어지러움이 자주 발생하면 추락사고가 발생할 수 있어서 특별히 조심하셔야 합니다.
뇌경색 초기증상 2. 두통
뇌경생 두번재 초기증상은 두통입니다. 두통은 조금 지나면 개선되지만, 스트레스나 몸살로 인해 일시적으로 발생하는 것으로 간과하는 경우가 많습니다. 절대 쉽게 생각지 마시고 반드시 진찰을 받아 보시기 바랍니다.
뇌경색 초기증상 3. 시력저하
뇌경색 초기증상 세 번째, 눈은 뇌와 가장 가까운 신체기관 중 하나입니다. 만약 갑자기 눈의 시력저하가 나타나면 뇌경색 초기증상일 가능성이 많습니다. 눈과 뇌는 밀접한 연관이 있어서 초점이 평소와 달리 맞지 않거나 시야가 흐릿흐릿하다면 뇌경색을 의심해보고 병원에서 검사를 해보시기 바랍니다.
뇌경색 초기증상 4. 만성피로
뇌경색 초기증상 네 번째, 갑자기 만성피로가 찾아온다면 뇌경색 초기증상을 의심해볼 필요가 있습니다. 뇌경색의 주요 원인인 혈관에 노폐물이 많이 쌓이게 되면 혈액 순환을 방해하는 혈전증이 생기게 되고, 뇌가 활발히 활동하지 못하게됩니다. 이로인해 항상 피곤하다고 느끼게 됩니다.



뇌경색 초기증상 5. 안면마비
뇌경색 초기증상 다섯 번째, 안면마비입니다. 뇌경색으로 인해 생기는 안면마비는 얼굴 전체에 발생하기보다는 얼굴 한쪽에 나타납니다. 만약 오른쪽이나 왼쪽 중 한 군데에서 마비가 일어난다면 뇌경색 초기증상일 가능성이 매우 높습니다.
뇌경색 초기증상 6. 언어구사력 감소
뇌경색 초기증상 여섯 번째, 언어구사력 장애입니다. 글을 읽지 못하거나 언어구사능력이 떨어지게 되고, 반대편 쪽 얼굴과 팔을 사용하지 못하게 되는 증상도 같이 나타나게 됩니다. 또 글 읽기가 안되거나 말투가 어눌해지는 것이 나타난다고 합니다. 또한 상대방의 쉬운 언어도 이해하지 못하는 이상증세가 나타납니다. 갑자기 이런 것이 나타나면 바로 병원에서 신속히 진료 받으셔야 합니다.
뇌경색 초기증상 7. 구토
뇌경색 초기증상 일곱 번째, 구토는 건강에 적신호가 켜진 것이며, 뇌경색으로 뇌에 문제가 생기면 구토를 할 수도 있다고 합니다. 뇌경색을 앓게 되면서 어지럼증과 함께 구토가 나타난다고 하며 따라서 뇌경색으로 두뇌 부근에 문제가 생기면 구토를 하게 됩니다. 원인 불명의 구토를 계속된다면 꼭 뇌경색을 의심해봐야 할 수 있다고 합니다.



뇌경색 원인
대표적인 원인은 고혈압입니다. 뇌경색 환자의 60% 이상이 고혈압을 가지고 있습니다. 그다음 대표 원인은 당뇨병으로 전체 환자의 약 30%에서 발생합니다. 고혈압, 당뇨병, 이상지질혈증 등의 만성질환을 앓고 있는 분들은 뇌경색이 발생할 위험을 안고 있는겁니다. 이외에도 관상동맥질환, 부정맥 등 심장질환이 있는 경우에도 뇌경색이 발생할 위험이 있습니다. 또한 흡연, 비만, 음주 등의 생활 습관들도 뇌경색 발병 위험을 높일 수 있습니다.뇌경색뿐 아니라 뇌출혈 뇌졸중등 여러 뇌질환이 있으니 꼭 참고하시기 바랍니다.
뇌경색 예방법
뇌경색을 예방하기 위해서는 혈관건강을 잘 관리해야 합니다. 고혈압, 당뇨, 고지혈증 환자와 흡연자들은 특히 뇌경색에 걸릴 확률이 높은 만큼 주의를 하시는 것이 좋습니다. 규칙적인 운동과 금연, 건강한 식습관으로 혈압과 혈당을 낮추는 노력이 필요합니다.
▶ 고혈압, 당뇨병 등의 이상지질혈증을 꾸준히 치료한다.
▶ 정기적으로 혈압, 혈당, 콜레스테롤을 측정한다.
▶ 음식을 싱겁게 해서 골고루 섭취하고 채소와 생선을 충분히 섭취해야 합니다..
▶ 적정 체중과 허리둘레를 유지한다.
▶ 스트레스를 줄이고 긍정적인 마음으로 생활한다.
▶ 뇌졸중, 심근경색증의 응급 증상을 숙지하고 발생 즉시 병원에 방문한다.
▶ 가능한 매일 30분 이상 운동을 한다.
▶ 담배는 끊는다.
▶ 술은 하루에 한두 잔 이하로 줄인다.
또 과로를 피하고 스트레스를 바로 풀어주는 것이 좋습니다. 명상이나 요가 등으로 심리적 안정을 위한 노력이 도움이 됩니다. 무엇보다 꾸준한 건강검진으로 혈관 건강을 체크하는 것이 좋습니다.



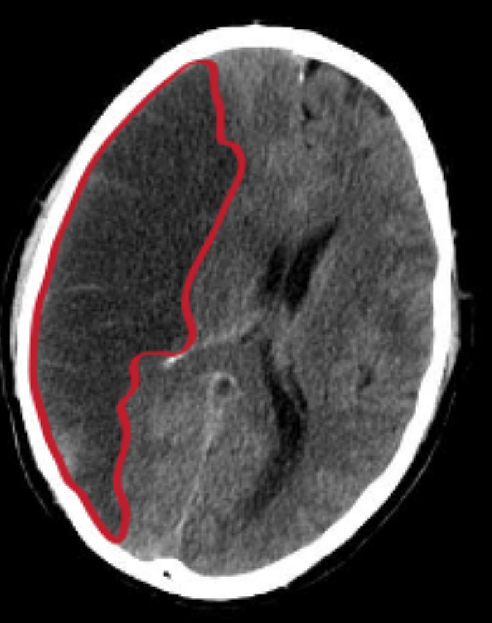
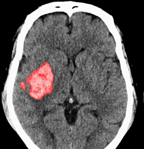
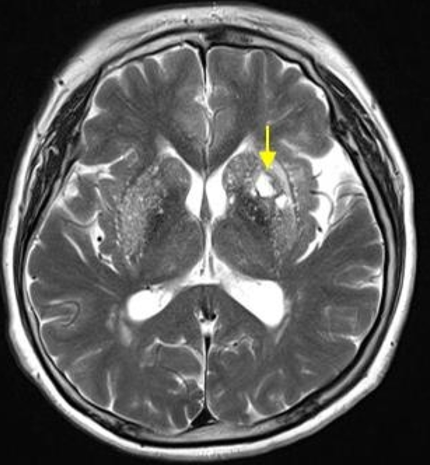
뇌경색 치료방법
증상이 나타나면 검사를 통해 정확한 진단이 필요합니다. 보통 MRI, 경동맥 초음파 등을 통해 증상을 확인합니다. 뇌의 단층을 촬영하고 뇌혈류 검사와 뇌혈관조영술 등 여러 방법을 통해 질환을 확인합니다.
진단을 받게 되면 증상의 정도에 따라 약물 치료, 혈관 성형술, 스텐트 삽입술, 경동맥 내막 절제술 등을 이용하여 치료합니다. 가장 간단한 방법은 막혀있는 혈관을 뚫어주는 것입니다. 혈전 용해제를 통해 혈류를 개선시켜줍니다. 심장 질환에 의해 나타나거나 혈관 박리 등으로 인해 발생한 경우에는 피의 응고를 막기 위해 항응고제를 사용하기도 합니다.
뇌혈관 질환 예방에 좋은 음식



토마토
토마토에 함유되어 있는 리코펜은 비타민E의 약 100배, 베타카로틴은 약 2배의 항산화 작용을 합니다. 이뿐만 아니라 베타카로틴, 비타민C와 모세혈관을 튼튼하게 만들어 주는 비타민P가 풍부하게 함유되어 있습니다.



등푸른 생선
등푸른 생선 지방에 함유되어 있는 EPA와 DHA는 생성된 혈전을 용해할 뿐만 아니라 혈액이 응고되는 것을 방지하여 혈관을 튼튼하게 만들어 주고 나쁜 콜레스테롤이 혈관벽에 침착되는 것을 막아줍니다.



당근
당근은 베타카로틴이 풍부한 음식으로 콜레스테롤이 유해물질로 변하여 동맥을 막는 것을 방지합니다..



여기까지 뇌경색 초기증상부터 뇌경색 예방법, 뇌혈관 질환에 좋은 음식까지 알아보았습니다.여러분들의 건강관리에 조금이나마 도움이 되었기를 바랍니다. 방문해 주셔서 감사합니다.
뇌졸중 전조증상 미리 알아두세요 제발
중풍이라고 불리는 뇌졸중의 경우 노년기 건강을 위협하는 대표적인 질환 중 하나입니다. 특히 뇌졸중은 생명을 다투는 응급질환으로 골든타임을 놓칠 경우 심각한 후유증이 발생하게 될 수 있
goodfor.infoma.kr
당화혈색소 정상치 6.5이상이면 당뇨병 진단
오늘의 건강정보는 당뇨병 환자를 판가름하는 진단기준인 당화혈색소 정상치에 대해 알아 보려고 합니다. 당화혈색소란 무엇인지, 그리고 당화혈색소 정상치 기준은 어느 정도인지 살펴보겠습
goodfor.infoma.kr
하지정맥류 증상 방치하면 큰일납니다.
하지정맥류는 다리의 혈류가 순환하지 못해 정체되고 역류하면서, 혈관이 피부 표면으로 울퉁불퉁 튀어나오는것이 하지정맥류 증상입니다. 튀어나온 혈관이 보이지 않아도 다리 통증이나 부종
goodfor.infoma.kr
