티스토리 뷰
지인은 어느 날 술자리를 마치고 집으로 귀가하기 위해 택시를 타려다가 사타구니 쪽에 찌릿한 통증을 느꼈는데, 처음에는 대수롭지 않은 것처럼 보였지만 날이 갈수록 고관절 통증 증상이 악화되었습니다. 그래서 병원을 찾았는데, ‘대퇴골두 무혈성 괴사’ 진단을 받았고, 고관절의 뼈가 괴사하고 있다는 의사의 말에 충격을 받았습니다.
고관절이란?
고관절 통증 증상(엉덩관절)은 오른쪽과 왼쪽의 골반과 넙다리뼈가 연결된 관절의 통증을 얘기합니다.고관절은 상체의 하중을 분산시키는 역할을 하며, 걷는 동안 체중의 3배, 달리는 경우 10배에 가까운 하중을 받습니다. 다른 관절과 마찬가지로 감당하기 어려운 충격이나 무게가 가해지면 고관절 통증 증상이 발생합니다. 퇴행성 고관절염, 대퇴골 골절, 대퇴골두 무혈성 괴사, 선천성 고관절 탈구 등이 대표적인 고관절 통증 질환입니다.






고관절 통증 증상(대퇴골두 무혈성 괴사)
우리나라에서 발생하는 고관절 통증 증상의 가장 큰비중(70%)을 차지하는 대퇴골두 무혈성 괴사는특히 30~50대 젊은 남성에서 많이 발생하는 것으로 알려져 있습니다. 이 질환은 고관절의 기능을 완전히 잃게 할수 있어 주의가 필요합니다.
고관절은 골반 뼈 속에 공처럼 생긴 대퇴골의 골두가 맞물린 관절입니다. 대퇴골두는 다른 부위에 비해 혈액 순환 장애가 쉽게 올 수 있으며, 혈액 순환 장애는 대퇴골두 무혈성 괴사를 유발합니다. 뼈가 썩으면 몸의 하중을 정상적으로 견디지 못해 미세구조에 골절이 생기고, 심각한 통증이 발생합니다.
고관절 통증 증상 원인
뚜렷한 원인은 밝혀지지 않았지만, 과다한 음주가 골 괴사의 위험을 높이는 가장 큰 원인입니다. 형외과 전문의는 “대퇴골두 무혈성 괴사는 여성보다는 남성에게서 많이 나타나고 환자의 60%는 양쪽 고관절 통증 증상에 모두 나타난다”며 “발병 요인 중 한국 남성들의 음주 습관이 큰 원인으로 꼽히고 있습니다. 자주 술을 마시게 되면 혈액에 콜레스테롤과 지방 등이 쌓이게 되고 이것이 혈관을 수축시키는데, 이때 혈압이 증가하고 혈액이 응고되면서 혈액 순환을 방해하게 됩니다. 과음으로 인해 급성으로 진행돼 고관절 뼈가 주저 앉는 사례도 있어 조기에 치료받는 것이 중요합니다.






대표적인 고관절 통증 증상(경고 신호)
고관절 질환은 대부분 초기에는 통증이 나타나지 않거나, 통증이 적어 방치하기 쉽습니다. 평소 걷는 동안 불편함을 느끼고, 만성적이라면 언제부터 통증이 시작됐는지 정확히 기억하지 못합니다. 고관절 통증 증상은 위치상 발견이 어렵고 골반과 비슷한 위치에 있어, 골반 통증으로 오인하는 경우도 많습니다. 질환이 점점 진행되면서 사타구니나 둔부에 통증이 나타났습니다. 심한 경우에는 휴식을 취하고 있을 때도 통증을 호소하게 됩니다.
고관절 통증 증상은 주로 걸을 때 고관절이 위치한 사타구니 쪽에 나타나지만 사타구니는 물론, 고관절 통증 증상 등 신경줄기에 의해 연결된 무릎이나 허벅지 앞쪽까지 통증이 있습니다.
▲평소에 잘되던 양반 다리가 힘들다면 고관절에 이상이 있을 가능성이 큽니다. 양반다리 자세는 고관절이 바깥으로 벌어지는데, 고관절 연골이 많이 닳거나 염증이 있는 경우 다리를 벌릴 때 고관절 통증 증상이 있습니다.
▲땅을 디딜 때 고관절 통증 증상이 심해 절뚝거립니다.
▲차에 타거나 내릴 때 사타구니 쪽 고관절 통증 증상이 발생합니다.
▲한쪽 다리가 짧아진 느낌이 듭니다.
▲계단을 오르내리거나 점프를 하는 등 고관절에 힘이 많이 실리는 동작을 하면 고관절 통증 증상은 더욱 심해질 수 있습니다.
▲허벅지 한쪽이 더 얇은 것도 고관절 통증 증상으로 건강이 보내는 이상 신호 중 하나입니다. 근육을 계속 활동해줘야 탄력이 붙고 강해지는데, 문제가 생긴 부위를 덜 움직이면 근육이 약해집니다.



고관절 통증 증상 완화운동
누워서 다리 꼬아서 팔로 당기기


1. 바르게 누워서 무릎을 세웁니다.
2. 오른쪽 다리를 무릎 위로 올립니다.
3. 양손으로 왼쪽 무릎을 잡고 가슴으로 당깁니다.
4. 10회로 3세트 진행합니다. (반대쪽도 같이 진행)
누워서 무릎 펴고 한쪽 다리 들기


1. 바르게 누워서 무릎을 세웁니다.
2. 무릎은 90도로 구부리고 발바닥을 바닥에 붙입니다.
3. 왼쪽 다리를 허벅지 높이까지 들어 올리고 천천히 내립니다.
4. 10회로 3세트 진행합니다. (반대쪽도 같이 진행)
한다리로 지탱하기

1. 바르게 선 상태에서 한 다리로 지탱한 채 한 다리는 올려 수평을 만들고
2. 한쪽 팔은 내려 중심을 잡고 10초 정도 유지해줍니다.
3. 유지 후 다시 반대쪽 다리를 올려 똑같이 반복해줍니다.
고관절 통증 증상 예방
가장 좋은 건 바로 예방하는 습관입니다. 고관절 통증 증상 예방을 위해서는 과도한 음주를 자제하며 음주량을 줄이고 규칙적인 운동이나 스트레칭으로 관절과 근육의 유연성을 유지해야 합니다. 만약 고관절 통증 증상이 발생하면, 양반다리 자세나 다리 꼬는 자세 등 엉덩이에 무리가 가는 자세는 피해야 합니다. 불편함이 있다면 정기적인 검진을 통해 건강 상태를 확인해야 합니다. 또한 지속적인 스트레칭을 통해 관절 및 근력의 유연성을 기르고 고관절 통증 증상의 혈액순환을 돕는 운동을 하는 것이 좋습니다.
스트레칭을 할 때 고관절 부위에 심한 통증과 불편함이 느껴진다면, 즉시 중단하고 병원에 방문해 전문의의 상담을 받은 뒤에 해야 합니다. 고관절 통증 증상이 있는 데도 참고 운동하게 되면 오히려 질환을 불러일으켜 상태를 더 악화시킬 수 있습니다.






고관절 통증 증상 치료
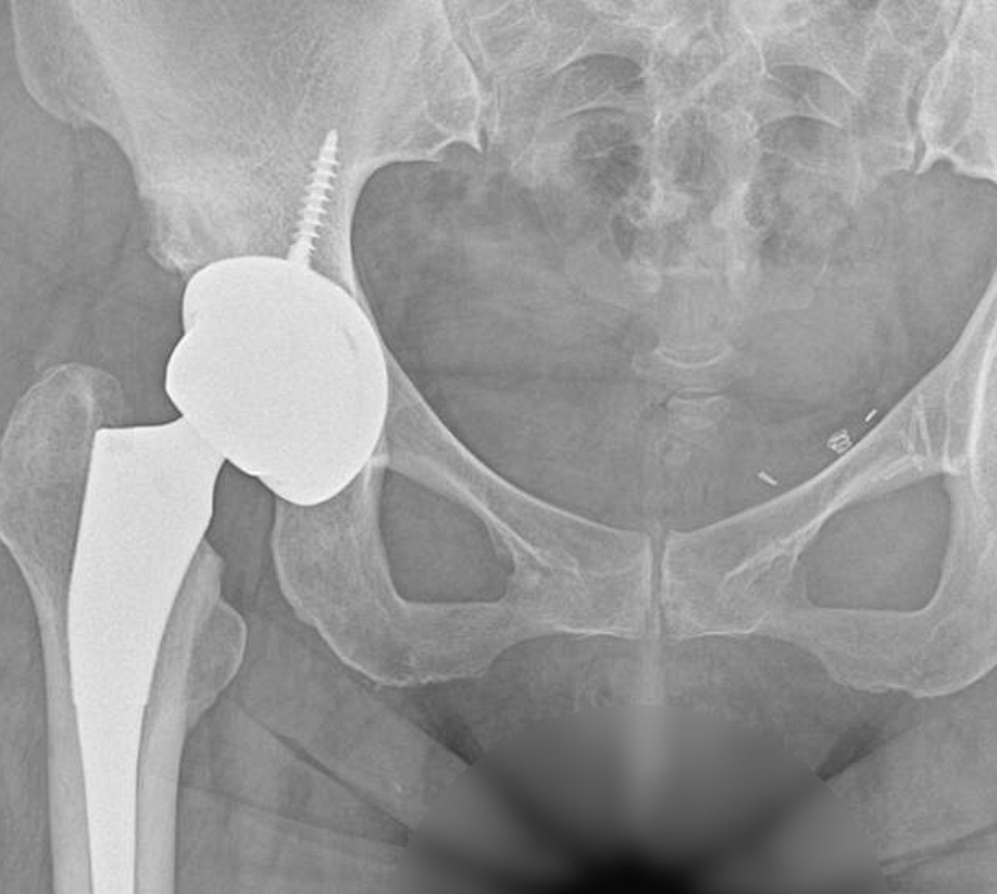
고관절 통증 증상은 조기에 발견하고 치료받는 것이 무엇보다 중요합니다. 고관절 손상이 심하지 않고 통증이 가볍다면 약물치료와 운동치료 등 보존적 치료를 통해 회복할 수 있습니다. 하지만 고관절 손상이 심하고 일상생활에 지장을 줄 만큼의 심한 고관절 통증 증상이 있는 경우라면 괴사된 관절을 제거하고 인공관절을 삽입하는 고관절의 인공관절 치환술을 해야 합니다.
오늘은 고관절 통증 증상과 예방, 고관절 통증 증상 완화 운동 및 치료방법에 대해 알아보았습니다. 방문해주셔서 감사합니다.
바나나 효능 껍질 활용
바나나는 맛이 좋고, 간편하게 먹을 수 있어 인기 간식인데요. 칼륨이 풍부하고 섬유질과 영양소가 풍부하기 때문에 건강에 좋은 효과가 있습니다. 특히 바나나는 노랗게 익으면서 단맛이 강해
goodfor.infoma.kr
땅콩 효능 이렇게 먹으면 체중관리에 좋아요
이번 건강정보는 고지방 고단백 식품으로 알려진 땅콩 효능을 알아보고, 건강에 어떤 영향을 미치는지 확인해 보는 시간을 갖겠습니다. 고소한 땅콩버터는 빵에 발라먹거나 소스를 만드는 등
goodfor.infoma.kr
공복혈당 정상수치 관리방법
공복혈당장애는 당뇨병 전 단계를 진단하는 기준의 하나로, 아침공복혈당이 지속적으로 높은 사람은 생활습관을 개선하거나 적절한 대책을 마련하지 않으면 제2형 당뇨병이 걸리기 쉽습니다.
goodfor.infoma.kr
